
Back molars take the full force of chewing — often over 150–200 lbs of pressure per bite.
Because of this, they’re also the teeth most likely to:
When a molar goes missing, the change may feel subtle at first — but the long-term consequences are significant:
Below is the implant sequence that mirrors the methodology and level of detail we follow at KYT Dental Services when restoring a missing tooth.
It demonstrates what modern implant dentistry looks like when performed to a high standard.
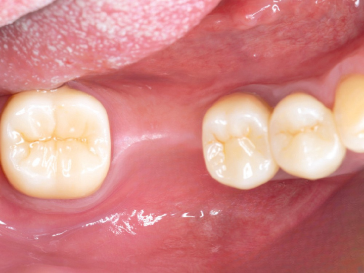
The first image shows a healed space where a molar was previously removed.
Many patients think a missing back tooth is “not a big deal” because it doesn't show when they smile — but over time, the biological effects are significant:
Restoring the missing molar prevents long-term bite collapse and bone loss.

In the second image, the implant fixture is already placed inside the bone.
This titanium post acts as the new “root” for the future tooth.
A properly placed implant should:
This step determines the long-term success of the restoration.
.png)
The third image shows the abutment being attached to the implant.
This is the connector piece that sits above the gumline and supports the final crown.
A precise abutment installation ensures:
This stage transitions the implant from “root replacement” to “tooth replacement.”
.png)
The final image shows the completed ceramic crown.
Once seated, the implant looks, feels, and functions like a natural tooth.
A well-designed implant crown:
When done correctly, the implant integrates fully with the bite and becomes a long-term functional tooth.
.png)
The implant stimulates bone like a natural root.
Far stronger than bridges or removable partials.
No grinding down healthy enamel.
Often 20–30+ years with proper care.
Most PPO plans cover the abutment + crown.
Yes — it prevents bone loss, shifting teeth, and bite collapse.
20–30+ years in most healthy patients.
Most patients describe the experience as easier than an extraction.
Typically 3–6 months from placement to crown.
Ideally within 3–6 months to prevent bone and bite changes.
Yes — implants preserve bone and don’t require drilling healthy teeth.
Yes. Modern ceramics blend in extremely well.
Most adults qualify; a CBCT scan determines bone health.
Most patients return to normal activities within 24 hours.
Yes — once restored, it feels natural when chewing and biting.
Most PPO plans cover the abutment and crown, with some contributing toward the implant fixture.
PPO patients receive full coverage for an exam and 3D scan at KYT Dental Services in Fountain Valley.
See whether a dental implant is the right choice for restoring your bite and long-term health.
Schedule your appointment today.





