Trust Your Teeth

The Modern Dental Podcast & Blog for Lasting Smiles

Expert insights, real patient stories, and clear strategies that connect dentistry to everyday life. Smarter care, better confidence, and a healthier smile—made simple.
Explore All TopicsStart Listening
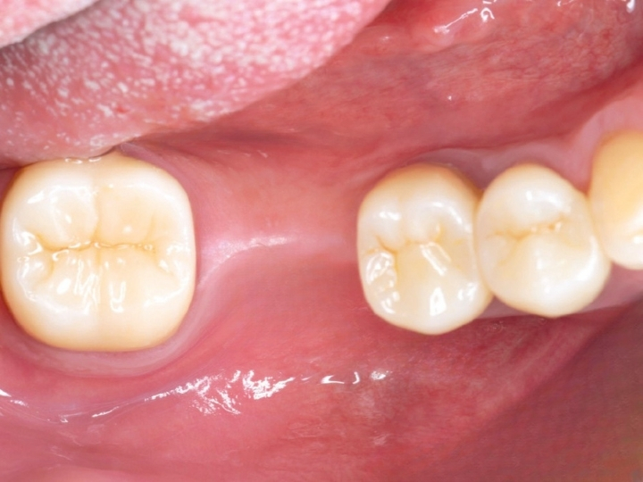
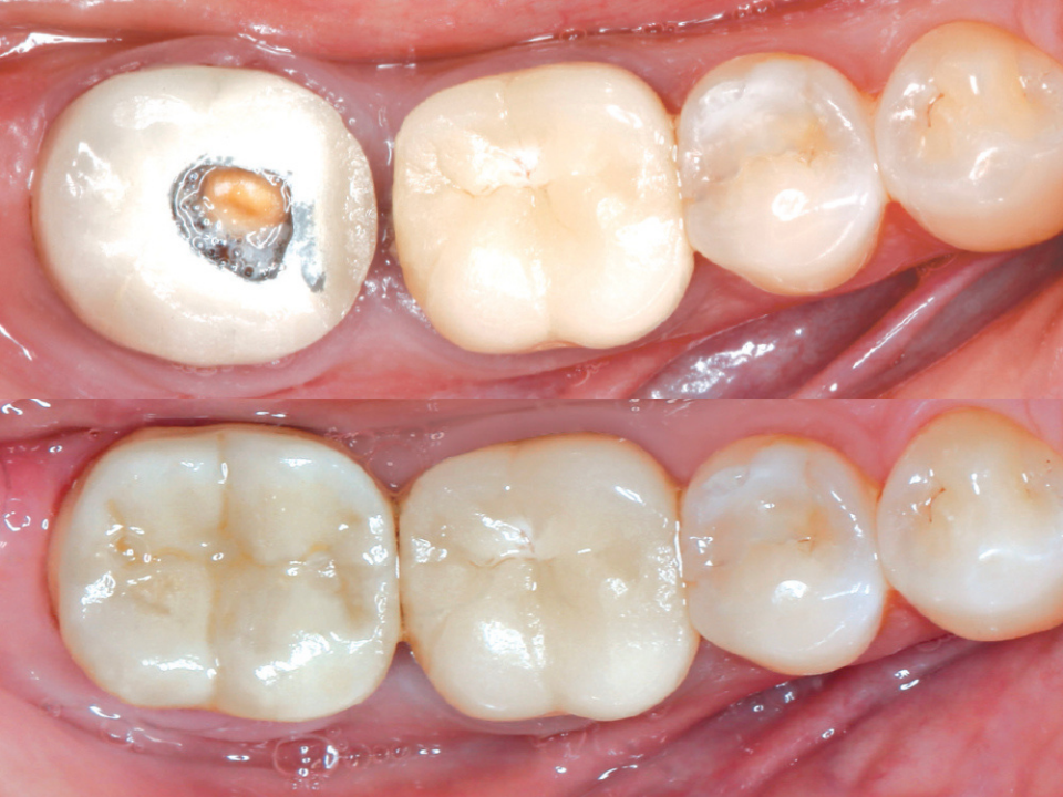
Single-Day Crowns: How Modern Dentistry Restores Your Tooth in One Visit
🦷 Dental Knowledge

Single-Day Crowns: How Modern Dentistry Restores Your Tooth in One Visit

A representative same-day crown transformation showing the precision, cleanliness, and efficiency of modern ceramic restorations.
Replacing a Front Tooth With Guided Implant Dentistry: A Precise, Modern Approach
🦷 Dental Knowledge

Replacing a Front Tooth With Guided Implant Dentistry: A Precise, Modern Approach

A representative case showing the level of planning, accuracy, and esthetic detail used in today’s anterior implant workflows.
Full Mouth Reconstruction: Restoring Function, Health & Confidence When a Smile Has Fully Broken Down
🦷 Dental Knowledge

Full Mouth Reconstruction: Restoring Function, Health & Confidence When a Smile Has Fully Broken Down

A representative transformation showing what modern dentistry can achieve when multiple teeth need rebuilding.
Guided Implant Surgery: How Digital Planning Creates Perfect Implant Placement, Every Time
🦷 Dental Knowledge

Guided Implant Surgery: How Digital Planning Creates Perfect Implant Placement, Every Time

A representative example showing how guided surgery ensures ideal implant positioning, natural esthetics, and predictable long-term results.
Nightguards for Veneers: Why They Matter, Who Needs Them, and How Retainers Fit In
🦷 Dental Knowledge

Nightguards for Veneers: Why They Matter, Who Needs Them, and How Retainers Fit In

A representative example showing how veneer patients protect their smile from grinding — and when retainers are enough.
Healing After a Missing Molar: How an Essix Retainer Protects Your Smile During Treatment
🦷 Dental Knowledge

Healing After a Missing Molar: How an Essix Retainer Protects Your Smile During Treatment

A representative example of how temporary tooth replacement maintains comfort, alignment, and confidence during the healing phase.
Missing Lateral Incisors: How Modern Dentistry Restores Balance, Symmetry & Confidence
🦷 Dental Knowledge

Missing Lateral Incisors: How Modern Dentistry Restores Balance, Symmetry & Confidence

A realistic look at why lateral incisors matter — and how restoring them brings back symmetry, proportion, and confidence.
How a Dental Implant Replaces a Missing Back Tooth: A Step-By-Step Guide
🦷 Dental Knowledge

How a Dental Implant Replaces a Missing Back Tooth: A Step-By-Step Guide

A detailed look into the implant process and the high-standard methodology used at KYT Dental Services.
How Chipotle Bowls Can Affect Your Smile
🍩 Everyday Habits

How Chipotle Bowls Can Affect Your Smile

Chipotle feels fresh and protein-forward, but acidic marinades, tomato salsas, and starchy bases quietly soften enamel and irritate gums. Smart adjustments protect your smile without changing your order.
Is Tequila Safe for Teeth? The Surprising Answer
🥤 Drinks & Beverages

Is Tequila Safe for Teeth? The Surprising Answer

A night out with cocktails or tequila shots feels carefree—but the acid, sugar, and dehydration from mixed drinks quietly weaken enamel and fuel cavities. Smarter swaps can help.
Why Fashion Culture May Be Hurting Your Teeth
👔 Career & Image

Why Fashion Culture May Be Hurting Your Teeth

Fashion evolves fast, but the habits that come with staying “camera-ready” can quietly weaken enamel, dry out your mouth, and dull your teeth. Smarter swaps can help.
Why Movie Snacks May Be Hurting Your Teeth
🍩 Everyday Habits

Why Movie Snacks May Be Hurting Your Teeth

Movie nights feel harmless and nostalgic, but sticky candies, buttery popcorn, and acidic sodas quietly weaken enamel and fuel cavities. Smarter swaps can help.
How Selfie Habits Quietly Damage Your Teeth
👔 Career & Image

How Selfie Habits Quietly Damage Your Teeth

Selfie culture celebrates angles, filters, and confidence—but whitening hacks, constant posing, and appearance-driven habits quietly weaken enamel and fuel insecurity. Smarter choices can protect your real smile.
Your Workday Routine Might Be Damaging Your Smile
🍩 Everyday Habits

Your Workday Routine Might Be Damaging Your Smile

The modern workday feels productive—but coffee refills, desk snacks, and skipped routines quietly weaken enamel and fuel cavities. Smarter swaps can help.
How Vacation Habits Quietly Damage Your Smile
🍩 Everyday Habits

How Vacation Habits Quietly Damage Your Smile

Vacation feels like a break from routines—but sugary drinks, resort treats, and constant snacking quietly weaken enamel and fuel cavities. Smarter swaps can help.
Why Beer Nights May Be Hurting Your Teeth
🥤 Drinks & Beverages

Why Beer Nights May Be Hurting Your Teeth

Beer may feel like a casual, harmless part of modern culture—but hidden acids, sugars, and dryness quietly weaken enamel and fuel gum irritation. Smarter swaps can help.
The Dental Truth Behind Your Costco Habits
🍩 Everyday Habits

The Dental Truth Behind Your Costco Habits

Costco may feel like the ultimate “smart shopping” choice, but bulk snacks, sugary samples, and sippable drinks quietly wear down enamel and fuel cavities. Smarter swaps can help.
Candy Bars: The Hidden Dental Damage Behind the Sweetness
🦷 Dental Knowledge

Candy Bars: The Hidden Dental Damage Behind the Sweetness

Candy bars may feel like a harmless pick-me-up, but sticky sugars and hidden acids quietly weaken enamel and fuel cavities. Smarter swaps can help.
Beauty and Dentistry: The Hidden Connection
😴 Lifestyle & Wellness

Beauty and Dentistry: The Hidden Connection

Skincare routines may boost your glow, but hidden acids, whitening products, and oral neglect can quietly dull your smile. Smarter swaps can help.
Why Pizza Nights Can Be Hard on Your Teeth
🍩 Everyday Habits

Why Pizza Nights Can Be Hard on Your Teeth

Pizza night feels warm, familiar, and harmless—but sticky carbs, acidic sauces, and sugary drinks quietly weaken enamel and fuel cavities. Smarter swaps can help.
Is Vaping Bad for Your Gums? What Your Dentist Wants You to Know
🦷 Dental Knowledge

Is Vaping Bad for Your Gums? What Your Dentist Wants You to Know

Vaping may feel like a cleaner alternative to smoking—but beneath the mist lies hidden damage. Nicotine, heat, and chemical flavorings quietly dry the mouth, restrict blood flow, and inflame the gums. Smarter swaps can help.
Is Champagne Bad for Your Teeth?
🥤 Drinks & Beverages

Is Champagne Bad for Your Teeth?

Champagne may sparkle on special occasions—but beneath the bubbles lies sugar, acid, and carbonation that quietly wear away enamel. Smarter swaps can help.
Celebrity Smiles: The Secrets Behind Picture-Perfect Teeth
👔 Career & Image

Celebrity Smiles: The Secrets Behind Picture-Perfect Teeth

Red carpet smiles may look effortless—but behind every camera flash lies precision care, professional whitening, and daily habits that protect enamel. Smarter swaps can help.
Ice Cream and Teeth: The Hidden Dental Costs
😴 Lifestyle & Wellness

Ice Cream and Teeth: The Hidden Dental Costs

Ice cream feels like the perfect indulgence—cool, creamy, and comforting. But behind every scoop, sugar and cold sensitivity quietly test your enamel’s strength. Smarter swaps can help.
Instagram vs Reality: The Filtered Glow That Quietly Impacts Your Smile
👔 Career & Image

Instagram vs Reality: The Filtered Glow That Quietly Impacts Your Smile

Instagram-worthy moments may look flawless on screen, but real-life habits—coffee, whitening hacks, and quick-fix smile trends—quietly wear down your teeth. Smarter swaps can help.
Airplane Travel & Teeth: What You Don’t Realize
😴 Lifestyle & Wellness

Airplane Travel & Teeth: What You Don’t Realize

Flying may feel like an exciting getaway or a routine business trip—but dry cabin air, in-flight snacks, and carbonated drinks quietly weaken enamel and irritate gums. Smarter swaps can help.
Cocktails & Your Smile: The Hidden Dental Costs
🥤 Drinks & Beverages

Cocktails & Your Smile: The Hidden Dental Costs

Cocktails may feel like festive, lighter choices compared to heavy beers or sugary sodas—but their blend of sugar, acid, and alcohol quietly weakens enamel, dries out your mouth, and dulls your smile.
Dairy vs Oat Milk: Which Is Better for Your Teeth?
🥤 Drinks & Beverages

Dairy vs Oat Milk: Which Is Better for Your Teeth?

Dairy and oat milk may feel like simple, healthy options for your morning coffee or smoothie—but each carries hidden effects for your teeth. Smarter choices can help.
How Dentistry Reverses the Signs of Aging
😴 Lifestyle & Wellness

How Dentistry Reverses the Signs of Aging

Anti-aging isn’t just about skincare and hair color—your smile plays one of the biggest roles in how youthful you look. But worn enamel, gum recession, and tooth discoloration quietly add years to your appearance. Smarter solutions can help.
Pretzels, Lemonade & Cavities: The Hidden Side of Mall Treats
🍩 Everyday Habits

Pretzels, Lemonade & Cavities: The Hidden Side of Mall Treats

Mall snacks may feel like innocent pick-me-ups—but salty pretzels, cinnamon sugar bites, and frozen lemonades quietly weaken enamel, fuel cavities, and dull your smile. Smarter swaps can help.
Sonrisas de graduación: proteja los dientes del estrés y las manchas
👔 Carrera e imagen

Sonrisas de graduación: proteja los dientes del estrés y las manchas

La graduación puede parecer el momento perfecto para celebrar los logros y los nuevos comienzos, pero los refrigerios, las bebidas energéticas y los hábitos de estrés a altas horas de la noche pueden debilitar silenciosamente el esmalte y opacar la sonrisa. Tomar decisiones más inteligentes puede ayudar.
Tendencias dentales de TikTok: viral no siempre significa seguro
🦷 Conocimientos dentales

Tendencias dentales de TikTok: viral no siempre significa seguro

TikTok puede parecer un centro de trucos de belleza inteligentes y soluciones rápidas, pero las tendencias dentales virales a menudo debilitan silenciosamente el esmalte, irritan las encías y causan daños a largo plazo. Tomar decisiones más inteligentes puede ayudar.
Los refrescos duros y su sonrisa: los costos dentales ocultos de la tendencia de bebidas «más saludables»
🥤 Bebidas y bebidas

Los refrescos duros y su sonrisa: los costos dentales ocultos de la tendencia de bebidas «más saludables»

Las gaseosas duras pueden parecer la alternativa más ligera y limpia que la cerveza o los cócteles, pero su mezcla de alcohol, ácido y carbonatación debilita silenciosamente el esmalte y mancha los dientes. Los intercambios más inteligentes pueden ayudar.
Lápiz labial y dientes: la sutil conexión entre la belleza y tu sonrisa
🦷 Conocimientos dentales

Lápiz labial y dientes: la sutil conexión entre la belleza y tu sonrisa

El lápiz labial puede parecer el toque final de una apariencia refinada, pero los tonos, las fórmulas y los hábitos que lo acompañan afectan silenciosamente la apariencia brillante, blanca y saludable de tu sonrisa. Tomar decisiones más inteligentes puede ayudar.
Hábito de masticar hielo: el daño oculto detrás del crujido
😴 Estilo de vida y bienestar

Hábito de masticar hielo: el daño oculto detrás del crujido

Masticar hielo puede parecer un hábito refrescante e inofensivo, pero el crujido repetido destruye silenciosamente el esmalte, debilita los dientes e incluso corre el riesgo de sufrir fracturas. Los intercambios más inteligentes pueden ayudar.
Hábitos de los festivales de música: cómo la diversión del fin de semana afecta tu sonrisa
😴 Estilo de vida y bienestar

Hábitos de los festivales de música: cómo la diversión del fin de semana afecta tu sonrisa

Los festivales de música parecen la mejor escapada, pero las bebidas azucaradas, el alcohol y las noches nocturnas debilitan silenciosamente el esmalte y dejan marcas duraderas en la sonrisa.
Té con leche y boba: dulce consuelo, costos ocultos para tu sonrisa
🍩 Hábitos cotidianos

Té con leche y boba: dulce consuelo, costos ocultos para tu sonrisa

La boba y el té con leche pueden parecer golosinas acogedoras e inofensivas, pero las perlas cargadas de azúcar y el té ácido debilitan silenciosamente el esmalte y las cavidades de combustible. Los intercambios más inteligentes pueden ayudar.
Por qué tu sonrisa es la mejor actualización de tu perfil de LinkedIn
👔 Carrera e imagen

Por qué tu sonrisa es la mejor actualización de tu perfil de LinkedIn

Una foto de perfil pulida y un currículum nítido pueden abrir puertas, pero tu sonrisa es en lo que la gente confía primero. Los pequeños detalles de su salud dental modelan discretamente su aspecto profesional y accesible en línea. Los hábitos más inteligentes pueden ayudar.
Cómo Chick-fil-A puede dañar tus dientes (sin que te des cuenta)
🍩 Hábitos cotidianos

Cómo Chick-fil-A puede dañar tus dientes (sin que te des cuenta)

Chick-fil-A puede parecer una opción de comida rápida más limpia, pero las salsas azucaradas y la limonada ácida debilitan silenciosamente el esmalte y las cavidades de combustible. Los intercambios más inteligentes pueden ayudar.
Bebidas de Starbucks que no arruinarán tu sonrisa (y cómo elegirlas)
🥤 Bebidas y bebidas

Bebidas de Starbucks que no arruinarán tu sonrisa (y cómo elegirlas)

Tu carrera en Starbucks no tiene por qué dañar tus dientes. Con unos cuantos cambios inteligentes, puedes conservar el sabor que te gusta y, al mismo tiempo, proteger tu esmalte y tu sonrisa.
Por qué el estrés deja su huella en tu sonrisa (y cómo detenerlo)
😴 Estilo de vida y bienestar

Por qué el estrés deja su huella en tu sonrisa (y cómo detenerlo)

El estrés no solo tensa los hombros, sino que fomenta el rechinamiento, el apretamiento y el desgaste dental que pueden dañar los dientes, las restauraciones y su sonrisa a largo plazo.
Por qué el vino y la cerveza retrasan la curación dental (lo que debe saber antes de la cirugía)
🥤 Bebidas y bebidas

Por qué el vino y la cerveza retrasan la curación dental (lo que debe saber antes de la cirugía)

Incluso una sola copa de vino o cerveza puede retrasar la curación después del cuidado dental. Aprenda cómo el alcohol afecta la recuperación y su sonrisa.
Por qué la falta de sueño envejece tu sonrisa (y cómo revertirla)
😴 Estilo de vida y bienestar

Por qué la falta de sueño envejece tu sonrisa (y cómo revertirla)

La falta de sueño no solo consume energía, sino que también alimenta el estrés, la inflamación y la fatiga que dañan lentamente los dientes, las encías y la recuperación después del cuidado dental.
Cómo las bebidas energéticas dañan silenciosamente tu sonrisa (y mejores opciones para probar)
🥤 Bebidas y bebidas

Cómo las bebidas energéticas dañan silenciosamente tu sonrisa (y mejores opciones para probar)

Desde la erosión del esmalte hasta la inflamación, los refrescos y las bebidas energéticas provocan daños ocultos en los dientes y las encías. Aquí te explicamos cómo proteger tu energía y tu sonrisa.
Qué le hacen Starbucks y McDonald's a tus dientes
🍩 Hábitos cotidianos

Qué le hacen Starbucks y McDonald's a tus dientes

Los hábitos cotidianos, como dejar de tomar café y comer comida rápida, parecen inofensivos, pero sus sutiles efectos sobre el esmalte, las encías y la cicatrización moldean tu sonrisa a largo plazo.
🍩 Everyday Habits

How Chipotle Bowls Can Affect Your Smile

Chipotle feels fresh and protein-forward, but acidic marinades, tomato salsas, and starchy bases quietly soften enamel and irritate gums. Smart adjustments protect your smile without changing your order.
🍩 Everyday Habits

Why Movie Snacks May Be Hurting Your Teeth

Movie nights feel harmless and nostalgic, but sticky candies, buttery popcorn, and acidic sodas quietly weaken enamel and fuel cavities. Smarter swaps can help.
🍩 Everyday Habits

Your Workday Routine Might Be Damaging Your Smile

The modern workday feels productive—but coffee refills, desk snacks, and skipped routines quietly weaken enamel and fuel cavities. Smarter swaps can help.
🍩 Everyday Habits

How Vacation Habits Quietly Damage Your Smile

Vacation feels like a break from routines—but sugary drinks, resort treats, and constant snacking quietly weaken enamel and fuel cavities. Smarter swaps can help.
🍩 Everyday Habits

The Dental Truth Behind Your Costco Habits

Costco may feel like the ultimate “smart shopping” choice, but bulk snacks, sugary samples, and sippable drinks quietly wear down enamel and fuel cavities. Smarter swaps can help.
🍩 Everyday Habits

Why Pizza Nights Can Be Hard on Your Teeth

Pizza night feels warm, familiar, and harmless—but sticky carbs, acidic sauces, and sugary drinks quietly weaken enamel and fuel cavities. Smarter swaps can help.
🍩 Everyday Habits

Pretzels, Lemonade & Cavities: The Hidden Side of Mall Treats

Mall snacks may feel like innocent pick-me-ups—but salty pretzels, cinnamon sugar bites, and frozen lemonades quietly weaken enamel, fuel cavities, and dull your smile. Smarter swaps can help.
🥤 Drinks & Beverages

Is Tequila Safe for Teeth? The Surprising Answer

A night out with cocktails or tequila shots feels carefree—but the acid, sugar, and dehydration from mixed drinks quietly weaken enamel and fuel cavities. Smarter swaps can help.
🥤 Drinks & Beverages

Why Beer Nights May Be Hurting Your Teeth

Beer may feel like a casual, harmless part of modern culture—but hidden acids, sugars, and dryness quietly weaken enamel and fuel gum irritation. Smarter swaps can help.
🥤 Drinks & Beverages

Is Champagne Bad for Your Teeth?

Champagne may sparkle on special occasions—but beneath the bubbles lies sugar, acid, and carbonation that quietly wear away enamel. Smarter swaps can help.
🥤 Drinks & Beverages

Cocktails & Your Smile: The Hidden Dental Costs

Cocktails may feel like festive, lighter choices compared to heavy beers or sugary sodas—but their blend of sugar, acid, and alcohol quietly weakens enamel, dries out your mouth, and dulls your smile.
🥤 Drinks & Beverages

Dairy vs Oat Milk: Which Is Better for Your Teeth?

Dairy and oat milk may feel like simple, healthy options for your morning coffee or smoothie—but each carries hidden effects for your teeth. Smarter choices can help.
😴 Lifestyle & Wellness

Beauty and Dentistry: The Hidden Connection

Skincare routines may boost your glow, but hidden acids, whitening products, and oral neglect can quietly dull your smile. Smarter swaps can help.
😴 Lifestyle & Wellness

Ice Cream and Teeth: The Hidden Dental Costs

Ice cream feels like the perfect indulgence—cool, creamy, and comforting. But behind every scoop, sugar and cold sensitivity quietly test your enamel’s strength. Smarter swaps can help.
😴 Lifestyle & Wellness

Airplane Travel & Teeth: What You Don’t Realize

Flying may feel like an exciting getaway or a routine business trip—but dry cabin air, in-flight snacks, and carbonated drinks quietly weaken enamel and irritate gums. Smarter swaps can help.
😴 Lifestyle & Wellness

How Dentistry Reverses the Signs of Aging

Anti-aging isn’t just about skincare and hair color—your smile plays one of the biggest roles in how youthful you look. But worn enamel, gum recession, and tooth discoloration quietly add years to your appearance. Smarter solutions can help.
👔 Career & Image

Why Fashion Culture May Be Hurting Your Teeth

Fashion evolves fast, but the habits that come with staying “camera-ready” can quietly weaken enamel, dry out your mouth, and dull your teeth. Smarter swaps can help.
👔 Career & Image

How Selfie Habits Quietly Damage Your Teeth

Selfie culture celebrates angles, filters, and confidence—but whitening hacks, constant posing, and appearance-driven habits quietly weaken enamel and fuel insecurity. Smarter choices can protect your real smile.
👔 Career & Image

Celebrity Smiles: The Secrets Behind Picture-Perfect Teeth

Red carpet smiles may look effortless—but behind every camera flash lies precision care, professional whitening, and daily habits that protect enamel. Smarter swaps can help.
👔 Career & Image

Instagram vs Reality: The Filtered Glow That Quietly Impacts Your Smile

Instagram-worthy moments may look flawless on screen, but real-life habits—coffee, whitening hacks, and quick-fix smile trends—quietly wear down your teeth. Smarter swaps can help.
🦷 Dental Knowledge

Single-Day Crowns: How Modern Dentistry Restores Your Tooth in One Visit

A representative same-day crown transformation showing the precision, cleanliness, and efficiency of modern ceramic restorations.
🦷 Dental Knowledge

Replacing a Front Tooth With Guided Implant Dentistry: A Precise, Modern Approach

A representative case showing the level of planning, accuracy, and esthetic detail used in today’s anterior implant workflows.
🦷 Dental Knowledge

Full Mouth Reconstruction: Restoring Function, Health & Confidence When a Smile Has Fully Broken Down

A representative transformation showing what modern dentistry can achieve when multiple teeth need rebuilding.
🦷 Dental Knowledge

Guided Implant Surgery: How Digital Planning Creates Perfect Implant Placement, Every Time

A representative example showing how guided surgery ensures ideal implant positioning, natural esthetics, and predictable long-term results.
🦷 Dental Knowledge

Nightguards for Veneers: Why They Matter, Who Needs Them, and How Retainers Fit In

A representative example showing how veneer patients protect their smile from grinding — and when retainers are enough.
🦷 Dental Knowledge

Healing After a Missing Molar: How an Essix Retainer Protects Your Smile During Treatment

A representative example of how temporary tooth replacement maintains comfort, alignment, and confidence during the healing phase.
🦷 Dental Knowledge

Missing Lateral Incisors: How Modern Dentistry Restores Balance, Symmetry & Confidence

A realistic look at why lateral incisors matter — and how restoring them brings back symmetry, proportion, and confidence.
🦷 Dental Knowledge

How a Dental Implant Replaces a Missing Back Tooth: A Step-By-Step Guide

A detailed look into the implant process and the high-standard methodology used at KYT Dental Services.
🦷 Dental Knowledge

Candy Bars: The Hidden Dental Damage Behind the Sweetness

Candy bars may feel like a harmless pick-me-up, but sticky sugars and hidden acids quietly weaken enamel and fuel cavities. Smarter swaps can help.
🦷 Dental Knowledge

Is Vaping Bad for Your Gums? What Your Dentist Wants You to Know

Vaping may feel like a cleaner alternative to smoking—but beneath the mist lies hidden damage. Nicotine, heat, and chemical flavorings quietly dry the mouth, restrict blood flow, and inflame the gums. Smarter swaps can help.