
A front tooth affects far more than appearance — it shapes confidence, speech, and how someone interacts with the world.
When a central incisor becomes non-restorable due to trauma, internal breakdown, or long-standing infection, modern implant dentistry allows that tooth to be replaced with exceptional accuracy.
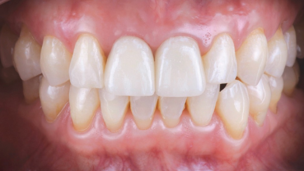
The images below illustrate a representative anterior implant workflow, reflecting the level of planning and precision followed at KYT Dental Services.
The case begins with a central incisor showing:

At this stage, saving the tooth is no longer predictable.
A replacement plan becomes necessary.
A 3D CBCT scan is taken to:

The CBCT images show the planned implant outlined in green, aligned exactly where the final tooth needs to be.
This planning phase is the foundation of a successful esthetic result.
A 3D-printed surgical guide is created from the CBCT plan.
The guide:

This converts a complex anterior surgery into a reproducible, pre-planned procedure.
With the guide seated, the implant is placed exactly along the predetermined path.
Benefits of guided placement:

For an anterior implant, even a 1 mm deviation can affect esthetics.
A guide removes that risk.
Once the implant has fully integrated, the final ceramic crown is placed.
A properly fabricated anterior implant crown offers:
.png)
The result is a tooth that looks like it has always belonged there.
Anterior implants demand a higher level of precision than posterior implants.
This is because the front teeth determine:
Guided placement ensures that the implant is positioned exactly where the final crown requires — not simply where the bone happens to be thickest.
This is how modern implant dentistry preserves both function and beauty.
Yes — it is the most stable, long-lasting replacement option.
With guided planning and ceramic crowns, they can match perfectly.
Typically 3–6 months from extraction to final crown.
Yes — esthetic temporaries are often used during healing.
Yes — significantly, especially for anterior cases.
Most patients report minimal discomfort thanks to the precision of guided surgery.
No — modern ceramics are nearly indistinguishable from natural enamel.
20–30+ years with proper care.
Often yes, depending on bone health and infection status.
Many PPO plans help cover the crown and abutment.
A failing front tooth can be restored with a natural, long-lasting implant using precise guided technology.
Most PPO plans cover the exam and final crown.
Call KYT Dental Services to check your benefits today.





