.png)
Implants succeed when they are:
Traditional freehand implant placement relies heavily on clinician experience and spatial judgment.
Today we have something far more precise:
A technique that uses 3D-printed surgical guides to place implants with millimeter-level accuracy.
The images below show a representative guided implant sequence, illustrating the type of precision-focused workflow followed at KYT Dental Services.

Everything begins with a missing molar.
Molars anchor the bite — without them, patients can experience:
Replacing the missing tooth with a dental implant restores stability, chewing power, and long-term function.
.png)
A custom 3D-printed surgical stent is fabricated using:
This stent fits over the teeth like a retainer and contains a precisely engineered opening that dictates:
This step eliminates guesswork and ensures that the implant matches the digital plan perfectly.
.png)
The implant is placed exactly through the guide into the pre-planned position.
A properly placed implant should show:
Guided implants offer unmatched accuracy, which leads to higher long-term success rates.
.png)
After healing, a custom ceramic crown is fabricated and attached using a screw-retained design, which offers:
This crown is crafted to match the natural shape and color of the surrounding teeth.
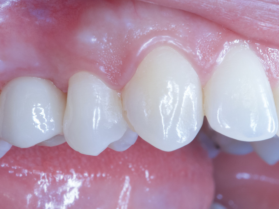
.png)
Once placed, the implant crown blends seamlessly with the natural teeth.
A successful implant restoration should:
This final result is what guided implant surgery is designed to achieve — predictable, precise, long-lasting tooth replacement.
Digital planning ensures ideal placement.
Angulation and positioning protect the implant.
Avoids nerves, sinuses, and thin bone areas.
No intra-surgical guesswork.
Implant placement matches the crown design, not the other way around.
Yes — it dramatically increases precision and consistency.
Often yes, because tissue handling is more controlled.
Usually faster because the work is done during planning, not during surgery.
Not mandatory, but highly recommended for optimal outcomes.
Extremely — it reduces risk and improves placement accuracy.
Most PPO plans cover the crown and abutment; some contribute to the implant itself.
Typically 3–6 months depending on bone health.
Almost all implant candidates benefit from guided placement.
Yes — they offer cleaner margins and superior retrievability.
Guided implant surgery makes tooth replacement more precise, predictable, and long-lasting.
Most PPO plans help cover implant treatment.
Call KYT Dental Services to verify benefits and schedule your implant evaluation.





