.png)
Traditionally, getting a crown meant:
Modern dentistry works differently.
Today, with the right technology and workflow, a failing crown can be removed and replaced with a brand-new ceramic crown in a single visit — no temporaries, no waiting, no return appointment.
The images below illustrate a representative single-day crown workflow, showing what’s possible when digital scanning, in-office milling, and ceramic design are used together.
(Images reflect an example of a failing crown removed and replaced with a new ceramic restoration in a single appointment.)
In the “before” photo, the existing crown shows:
.png)
Crowns don’t last forever — and when they begin to break down, bacteria slip underneath, causing sensitivity and further damage.
Replacing it quickly prevents bigger problems.
Here’s what happens during a modern same-day crown appointment:
The failing crown is removed to expose the underlying tooth.
This allows the dentist to:
Instead of goo impressions, a digital scanner captures the tooth in seconds, providing:
The scan is then used to design the new crown digitally.
Using CAD software, the new crown is shaped:
Everything is done chairside — no middle steps, no shipping delays.
A block of strong ceramic is placed into an in-office milling machine, which carves the crown in minutes.
This produces:
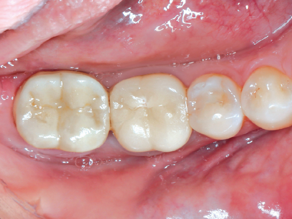
The “after” photo shows the final restoration:
.png)
No temporary crown.
No second appointment.
No extra time off work.
Just a fully restored tooth — done the same day.
Temporaries often fall off — same-day crowns eliminate that problem.
Great for busy professionals, parents, and anyone short on time.
Scanning improves fit compared to traditional impressions.
Modern ceramic is durable, long-lasting, and esthetic.
Most PPO plans cover crowns at 40–60% on average.
Yes — with digital scanning and in-office milling.
Modern ceramic materials are extremely strong and esthetic.
No — most PPO plans cover it the same as a traditional crown.
With proper care, they last as long as lab-made crowns.
No — the final crown is delivered immediately.
Typically 60–120 minutes depending on complexity.
Yes. They use proven ceramic materials used in modern restorative dentistry.
The underlying tooth is cleaned, rebuilt, and prepped before scanning.
Yes — once the cement is cured, normal chewing is allowed.
Absolutely. They are made from tooth-colored ceramic and customized digitally.
If you have a broken, cracked, or failing crown, modern dentistry allows you to replace it in a single visit with no temporary crown and no second appointment.
Most PPO plans cover the majority of the cost.
Call KYT Dental Services to check your benefits today.





